[最新] 子供 歯 生え変わり 斜め 207793-子供 歯 生え変��り 斜め
下の永久歯の生え方 斜め ハの字 は自然に治る 矯正した方がいい 歯科医監修 Kosodate Life 子育てライフ
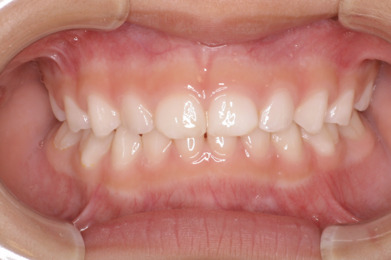
子供の歯並びが不自然 「曲がって永久歯が生えてきた! 」 「あごが小さくて歯が入りそうにない。 」 「受け口で前歯が逆になっている? 」 お子様の歯並びで不安を感じていらっしゃる親御さんも多いのではないでしょうか? 一番最初にお子様の 斜め後方から生えて来る永久歯によって乳歯の根っこが吸収され、 押し出されるようにして乳歯が抜けます。 一般的に左図の乳中切歯が最初に生え変わります ちなみに、奥歯は生え変わる時に乳歯の真下から永久歯が成長してきます。
子供 歯 生え変わり 斜め
子供 歯 生え変わり 斜め-ただ、自分自身のレントゲン画像やお子さんの画像だった場合は、 意外と冷静 に受け止めているようです。 我が身の治療や我が子の生え変わりなどが気になっている時は、衝撃を受けている場合ではないのかもしれませんね。 乳歯から永久歯へ 歯の生え方と並び方 子供の歯について 子供の歯は乳歯といい数は本あります。乳歯の生える順番は個人差はありますがa乳中切歯→b乳側切歯→d第一乳臼歯→c乳犬歯→e第二乳臼歯という順番です。 乳歯の生える順番 上あご a 乳中切歯 10ヶ月頃 b 乳側切歯 12ヶ月頃 c 第一乳臼歯
1
子どもの歯並びを心配されて来院される方は多数おられます。 その年齢は3歳や6歳の子もいれば、小学校高学年の11歳だったりとまちまちです。 しかし 11歳以上のお子さんには多くの場合、歯列育形成を適用することができません。 歯の生えかわりや顎の小児歯科医監修子どもの歯並び③ 叢生/らんぐい(でこぼこの歯) 小児歯科医が解説乳歯の本数は?永久歯の生え変わりはいつ?乳歯についてよくある質問まとめ 小児歯科医監修赤ちゃんの歯医者さんデビューはいつから? 小2の前歯ですが。 投稿者 まゆみ さん 37才 女性 主婦 / 0851 カテゴリー 小児矯正 治療の開始時期 治療前 お悩みの歯 上あご右1番 上あご左1番 今、ちょうど、永久歯が出てきてますが、明らかに隙間が広く、斜めに曲がってはえてきてます
うちの子、生まれた時に歯が生えていたのですが、大丈夫? 乳歯はむし歯になりやすいんですか? 乳歯に白いシミのような部分があって心配です。 癒合歯(ゆごうし)って、何ですか? 永久歯の生え変わりについて、よくある質問そこで今回は子供の永久歯 12歳くらいにかけては、側方歯群と呼ばれる乳犬歯、第1乳臼歯、第2乳臼歯が順次生え変わり、さらに、これらの歯 奥歯に起こりやすく、乳歯の根は2本あり、永久歯が斜 永久歯が重なって生えてきました、 これって大丈夫ですか?? (歯医者) ⇒歯の生え変わりにはお子さんごとにさまざまな パターンがあり、乳歯が残っているうちに 永久歯が生えてくるのも珍しくありません。 (私)
子供 歯 生え変わり 斜めのギャラリー
各画像をクリックすると、ダウンロードまたは拡大表示できます
![]() 3342 7歳男児 指しゃぶりによる開咬 矯正治療 静岡市葵区の歯医者 みまつ渡辺歯科医院 静岡の総合歯科です | ![]() 3342 7歳男児 指しゃぶりによる開咬 矯正治療 静岡市葵区の歯医者 みまつ渡辺歯科医院 静岡の総合歯科です | ![]() 3342 7歳男児 指しゃぶりによる開咬 矯正治療 静岡市葵区の歯医者 みまつ渡辺歯科医院 静岡の総合歯科です |
![]() 3342 7歳男児 指しゃぶりによる開咬 矯正治療 静岡市葵区の歯医者 みまつ渡辺歯科医院 静岡の総合歯科です | ![]() 3342 7歳男児 指しゃぶりによる開咬 矯正治療 静岡市葵区の歯医者 みまつ渡辺歯科医院 静岡の総合歯科です | ![]() 3342 7歳男児 指しゃぶりによる開咬 矯正治療 静岡市葵区の歯医者 みまつ渡辺歯科医院 静岡の総合歯科です |
![]() 3342 7歳男児 指しゃぶりによる開咬 矯正治療 静岡市葵区の歯医者 みまつ渡辺歯科医院 静岡の総合歯科です | ![]() 3342 7歳男児 指しゃぶりによる開咬 矯正治療 静岡市葵区の歯医者 みまつ渡辺歯科医院 静岡の総合歯科です | ![]() 3342 7歳男児 指しゃぶりによる開咬 矯正治療 静岡市葵区の歯医者 みまつ渡辺歯科医院 静岡の総合歯科です |
3342 7歳男児 指しゃぶりによる開咬 矯正治療 静岡市葵区の歯医者 みまつ渡辺歯科医院 静岡の総合歯科です | ![]() 3342 7歳男児 指しゃぶりによる開咬 矯正治療 静岡市葵区の歯医者 みまつ渡辺歯科医院 静岡の総合歯科です | ![]() 3342 7歳男児 指しゃぶりによる開咬 矯正治療 静岡市葵区の歯医者 みまつ渡辺歯科医院 静岡の総合歯科です |
![]() 3342 7歳男児 指しゃぶりによる開咬 矯正治療 静岡市葵区の歯医者 みまつ渡辺歯科医院 静岡の総合歯科です | ![]() 3342 7歳男児 指しゃぶりによる開咬 矯正治療 静岡市葵区の歯医者 みまつ渡辺歯科医院 静岡の総合歯科です | ![]() 3342 7歳男児 指しゃぶりによる開咬 矯正治療 静岡市葵区の歯医者 みまつ渡辺歯科医院 静岡の総合歯科です |
3342 7歳男児 指しゃぶりによる開咬 矯正治療 静岡市葵区の歯医者 みまつ渡辺歯科医院 静岡の総合歯科です | ![]() 3342 7歳男児 指しゃぶりによる開咬 矯正治療 静岡市葵区の歯医者 みまつ渡辺歯科医院 静岡の総合歯科です | 3342 7歳男児 指しゃぶりによる開咬 矯正治療 静岡市葵区の歯医者 みまつ渡辺歯科医院 静岡の総合歯科です |
![]() 3342 7歳男児 指しゃぶりによる開咬 矯正治療 静岡市葵区の歯医者 みまつ渡辺歯科医院 静岡の総合歯科です | 3342 7歳男児 指しゃぶりによる開咬 矯正治療 静岡市葵区の歯医者 みまつ渡辺歯科医院 静岡の総合歯科です | 3342 7歳男児 指しゃぶりによる開咬 矯正治療 静岡市葵区の歯医者 みまつ渡辺歯科医院 静岡の総合歯科です |
![]() 3342 7歳男児 指しゃぶりによる開咬 矯正治療 静岡市葵区の歯医者 みまつ渡辺歯科医院 静岡の総合歯科です | ![]() 3342 7歳男児 指しゃぶりによる開咬 矯正治療 静岡市葵区の歯医者 みまつ渡辺歯科医院 静岡の総合歯科です | ![]() 3342 7歳男児 指しゃぶりによる開咬 矯正治療 静岡市葵区の歯医者 みまつ渡辺歯科医院 静岡の総合歯科です |
![]() 3342 7歳男児 指しゃぶりによる開咬 矯正治療 静岡市葵区の歯医者 みまつ渡辺歯科医院 静岡の総合歯科です | ![]() 3342 7歳男児 指しゃぶりによる開咬 矯正治療 静岡市葵区の歯医者 みまつ渡辺歯科医院 静岡の総合歯科です | ![]() 3342 7歳男児 指しゃぶりによる開咬 矯正治療 静岡市葵区の歯医者 みまつ渡辺歯科医院 静岡の総合歯科です |
3342 7歳男児 指しゃぶりによる開咬 矯正治療 静岡市葵区の歯医者 みまつ渡辺歯科医院 静岡の総合歯科です | 3342 7歳男児 指しゃぶりによる開咬 矯正治療 静岡市葵区の歯医者 みまつ渡辺歯科医院 静岡の総合歯科です | ![]() 3342 7歳男児 指しゃぶりによる開咬 矯正治療 静岡市葵区の歯医者 みまつ渡辺歯科医院 静岡の総合歯科です |
![]() 3342 7歳男児 指しゃぶりによる開咬 矯正治療 静岡市葵区の歯医者 みまつ渡辺歯科医院 静岡の総合歯科です | ![]() 3342 7歳男児 指しゃぶりによる開咬 矯正治療 静岡市葵区の歯医者 みまつ渡辺歯科医院 静岡の総合歯科です | ![]() 3342 7歳男児 指しゃぶりによる開咬 矯正治療 静岡市葵区の歯医者 みまつ渡辺歯科医院 静岡の総合歯科です |
![]() 3342 7歳男児 指しゃぶりによる開咬 矯正治療 静岡市葵区の歯医者 みまつ渡辺歯科医院 静岡の総合歯科です | ![]() 3342 7歳男児 指しゃぶりによる開咬 矯正治療 静岡市葵区の歯医者 みまつ渡辺歯科医院 静岡の総合歯科です | ![]() 3342 7歳男児 指しゃぶりによる開咬 矯正治療 静岡市葵区の歯医者 みまつ渡辺歯科医院 静岡の総合歯科です |
3342 7歳男児 指しゃぶりによる開咬 矯正治療 静岡市葵区の歯医者 みまつ渡辺歯科医院 静岡の総合歯科です | ![]() 3342 7歳男児 指しゃぶりによる開咬 矯正治療 静岡市葵区の歯医者 みまつ渡辺歯科医院 静岡の総合歯科です | ![]() 3342 7歳男児 指しゃぶりによる開咬 矯正治療 静岡市葵区の歯医者 みまつ渡辺歯科医院 静岡の総合歯科です |
3342 7歳男児 指しゃぶりによる開咬 矯正治療 静岡市葵区の歯医者 みまつ渡辺歯科医院 静岡の総合歯科です | ![]() 3342 7歳男児 指しゃぶりによる開咬 矯正治療 静岡市葵区の歯医者 みまつ渡辺歯科医院 静岡の総合歯科です | ![]() 3342 7歳男児 指しゃぶりによる開咬 矯正治療 静岡市葵区の歯医者 みまつ渡辺歯科医院 静岡の総合歯科です |
![]() 3342 7歳男児 指しゃぶりによる開咬 矯正治療 静岡市葵区の歯医者 みまつ渡辺歯科医院 静岡の総合歯科です | 3342 7歳男児 指しゃぶりによる開咬 矯正治療 静岡市葵区の歯医者 みまつ渡辺歯科医院 静岡の総合歯科です | ![]() 3342 7歳男児 指しゃぶりによる開咬 矯正治療 静岡市葵区の歯医者 みまつ渡辺歯科医院 静岡の総合歯科です |
3342 7歳男児 指しゃぶりによる開咬 矯正治療 静岡市葵区の歯医者 みまつ渡辺歯科医院 静岡の総合歯科です | 3342 7歳男児 指しゃぶりによる開咬 矯正治療 静岡市葵区の歯医者 みまつ渡辺歯科医院 静岡の総合歯科です | ![]() 3342 7歳男児 指しゃぶりによる開咬 矯正治療 静岡市葵区の歯医者 みまつ渡辺歯科医院 静岡の総合歯科です |
![]() 3342 7歳男児 指しゃぶりによる開咬 矯正治療 静岡市葵区の歯医者 みまつ渡辺歯科医院 静岡の総合歯科です | ![]() 3342 7歳男児 指しゃぶりによる開咬 矯正治療 静岡市葵区の歯医者 みまつ渡辺歯科医院 静岡の総合歯科です | ![]() 3342 7歳男児 指しゃぶりによる開咬 矯正治療 静岡市葵区の歯医者 みまつ渡辺歯科医院 静岡の総合歯科です |
3342 7歳男児 指しゃぶりによる開咬 矯正治療 静岡市葵区の歯医者 みまつ渡辺歯科医院 静岡の総合歯科です | ![]() 3342 7歳男児 指しゃぶりによる開咬 矯正治療 静岡市葵区の歯医者 みまつ渡辺歯科医院 静岡の総合歯科です | 3342 7歳男児 指しゃぶりによる開咬 矯正治療 静岡市葵区の歯医者 みまつ渡辺歯科医院 静岡の総合歯科です |
![]() 3342 7歳男児 指しゃぶりによる開咬 矯正治療 静岡市葵区の歯医者 みまつ渡辺歯科医院 静岡の総合歯科です | ![]() 3342 7歳男児 指しゃぶりによる開咬 矯正治療 静岡市葵区の歯医者 みまつ渡辺歯科医院 静岡の総合歯科です | ![]() 3342 7歳男児 指しゃぶりによる開咬 矯正治療 静岡市葵区の歯医者 みまつ渡辺歯科医院 静岡の総合歯科です |
![]() 3342 7歳男児 指しゃぶりによる開咬 矯正治療 静岡市葵区の歯医者 みまつ渡辺歯科医院 静岡の総合歯科です | ![]() 3342 7歳男児 指しゃぶりによる開咬 矯正治療 静岡市葵区の歯医者 みまつ渡辺歯科医院 静岡の総合歯科です | ![]() 3342 7歳男児 指しゃぶりによる開咬 矯正治療 静岡市葵区の歯医者 みまつ渡辺歯科医院 静岡の総合歯科です |
![]() 3342 7歳男児 指しゃぶりによる開咬 矯正治療 静岡市葵区の歯医者 みまつ渡辺歯科医院 静岡の総合歯科です | 3342 7歳男児 指しゃぶりによる開咬 矯正治療 静岡市葵区の歯医者 みまつ渡辺歯科医院 静岡の総合歯科です | 3342 7歳男児 指しゃぶりによる開咬 矯正治療 静岡市葵区の歯医者 みまつ渡辺歯科医院 静岡の総合歯科です |
![]() 3342 7歳男児 指しゃぶりによる開咬 矯正治療 静岡市葵区の歯医者 みまつ渡辺歯科医院 静岡の総合歯科です | 3342 7歳男児 指しゃぶりによる開咬 矯正治療 静岡市葵区の歯医者 みまつ渡辺歯科医院 静岡の総合歯科です | ![]() 3342 7歳男児 指しゃぶりによる開咬 矯正治療 静岡市葵区の歯医者 みまつ渡辺歯科医院 静岡の総合歯科です |
![]() 3342 7歳男児 指しゃぶりによる開咬 矯正治療 静岡市葵区の歯医者 みまつ渡辺歯科医院 静岡の総合歯科です | ![]() 3342 7歳男児 指しゃぶりによる開咬 矯正治療 静岡市葵区の歯医者 みまつ渡辺歯科医院 静岡の総合歯科です | ![]() 3342 7歳男児 指しゃぶりによる開咬 矯正治療 静岡市葵区の歯医者 みまつ渡辺歯科医院 静岡の総合歯科です |
3342 7歳男児 指しゃぶりによる開咬 矯正治療 静岡市葵区の歯医者 みまつ渡辺歯科医院 静岡の総合歯科です | ![]() 3342 7歳男児 指しゃぶりによる開咬 矯正治療 静岡市葵区の歯医者 みまつ渡辺歯科医院 静岡の総合歯科です | ![]() 3342 7歳男児 指しゃぶりによる開咬 矯正治療 静岡市葵区の歯医者 みまつ渡辺歯科医院 静岡の総合歯科です |
![]() 3342 7歳男児 指しゃぶりによる開咬 矯正治療 静岡市葵区の歯医者 みまつ渡辺歯科医院 静岡の総合歯科です | ![]() 3342 7歳男児 指しゃぶりによる開咬 矯正治療 静岡市葵区の歯医者 みまつ渡辺歯科医院 静岡の総合歯科です | ![]() 3342 7歳男児 指しゃぶりによる開咬 矯正治療 静岡市葵区の歯医者 みまつ渡辺歯科医院 静岡の総合歯科です |
![]() 3342 7歳男児 指しゃぶりによる開咬 矯正治療 静岡市葵区の歯医者 みまつ渡辺歯科医院 静岡の総合歯科です | ![]() 3342 7歳男児 指しゃぶりによる開咬 矯正治療 静岡市葵区の歯医者 みまつ渡辺歯科医院 静岡の総合歯科です | ![]() 3342 7歳男児 指しゃぶりによる開咬 矯正治療 静岡市葵区の歯医者 みまつ渡辺歯科医院 静岡の総合歯科です |
![]() 3342 7歳男児 指しゃぶりによる開咬 矯正治療 静岡市葵区の歯医者 みまつ渡辺歯科医院 静岡の総合歯科です | ![]() 3342 7歳男児 指しゃぶりによる開咬 矯正治療 静岡市葵区の歯医者 みまつ渡辺歯科医院 静岡の総合歯科です | ![]() 3342 7歳男児 指しゃぶりによる開咬 矯正治療 静岡市葵区の歯医者 みまつ渡辺歯科医院 静岡の総合歯科です |
![]() 3342 7歳男児 指しゃぶりによる開咬 矯正治療 静岡市葵区の歯医者 みまつ渡辺歯科医院 静岡の総合歯科です | ![]() 3342 7歳男児 指しゃぶりによる開咬 矯正治療 静岡市葵区の歯医者 みまつ渡辺歯科医院 静岡の総合歯科です | ![]() 3342 7歳男児 指しゃぶりによる開咬 矯正治療 静岡市葵区の歯医者 みまつ渡辺歯科医院 静岡の総合歯科です |
![]() 3342 7歳男児 指しゃぶりによる開咬 矯正治療 静岡市葵区の歯医者 みまつ渡辺歯科医院 静岡の総合歯科です | 3342 7歳男児 指しゃぶりによる開咬 矯正治療 静岡市葵区の歯医者 みまつ渡辺歯科医院 静岡の総合歯科です | ![]() 3342 7歳男児 指しゃぶりによる開咬 矯正治療 静岡市葵区の歯医者 みまつ渡辺歯科医院 静岡の総合歯科です |
3342 7歳男児 指しゃぶりによる開咬 矯正治療 静岡市葵区の歯医者 みまつ渡辺歯科医院 静岡の総合歯科です | 3342 7歳男児 指しゃぶりによる開咬 矯正治療 静岡市葵区の歯医者 みまつ渡辺歯科医院 静岡の総合歯科です | 3342 7歳男児 指しゃぶりによる開咬 矯正治療 静岡市葵区の歯医者 みまつ渡辺歯科医院 静岡の総合歯科です |
![]() 3342 7歳男児 指しゃぶりによる開咬 矯正治療 静岡市葵区の歯医者 みまつ渡辺歯科医院 静岡の総合歯科です | 3342 7歳男児 指しゃぶりによる開咬 矯正治療 静岡市葵区の歯医者 みまつ渡辺歯科医院 静岡の総合歯科です | ![]() 3342 7歳男児 指しゃぶりによる開咬 矯正治療 静岡市葵区の歯医者 みまつ渡辺歯科医院 静岡の総合歯科です |
3342 7歳男児 指しゃぶりによる開咬 矯正治療 静岡市葵区の歯医者 みまつ渡辺歯科医院 静岡の総合歯科です | ![]() 3342 7歳男児 指しゃぶりによる開咬 矯正治療 静岡市葵区の歯医者 みまつ渡辺歯科医院 静岡の総合歯科です | ![]() 3342 7歳男児 指しゃぶりによる開咬 矯正治療 静岡市葵区の歯医者 みまつ渡辺歯科医院 静岡の総合歯科です |
![]() 3342 7歳男児 指しゃぶりによる開咬 矯正治療 静岡市葵区の歯医者 みまつ渡辺歯科医院 静岡の総合歯科です | 3342 7歳男児 指しゃぶりによる開咬 矯正治療 静岡市葵区の歯医者 みまつ渡辺歯科医院 静岡の総合歯科です | ![]() 3342 7歳男児 指しゃぶりによる開咬 矯正治療 静岡市葵区の歯医者 みまつ渡辺歯科医院 静岡の総合歯科です |
![]() 3342 7歳男児 指しゃぶりによる開咬 矯正治療 静岡市葵区の歯医者 みまつ渡辺歯科医院 静岡の総合歯科です | ![]() 3342 7歳男児 指しゃぶりによる開咬 矯正治療 静岡市葵区の歯医者 みまつ渡辺歯科医院 静岡の総合歯科です | ![]() 3342 7歳男児 指しゃぶりによる開咬 矯正治療 静岡市葵区の歯医者 みまつ渡辺歯科医院 静岡の総合歯科です |
3342 7歳男児 指しゃぶりによる開咬 矯正治療 静岡市葵区の歯医者 みまつ渡辺歯科医院 静岡の総合歯科です | ![]() 3342 7歳男児 指しゃぶりによる開咬 矯正治療 静岡市葵区の歯医者 みまつ渡辺歯科医院 静岡の総合歯科です |
子供の前歯が斜めに生えてきたのですが、 このままにしておいていいのでしょうか? ご質問のように、上の永久歯が時として、斜めに生えてきてすき間ができることがあります。 こういうときは、次の三つのパターンが考えられます。
Incoming Term: 子供 歯 生え変わり 斜め,












































































コメント
コメントを投稿